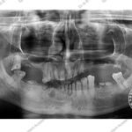
1005 zygomatic basal implant full mouth Ali Hasan 2

Home / 1005 zygomatic basal implant full mouth Ali Hasan 2

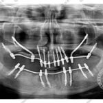
C1005 zygomatic basal implant full mouth – Ali Hasan 4

Dr. N.B. Singh