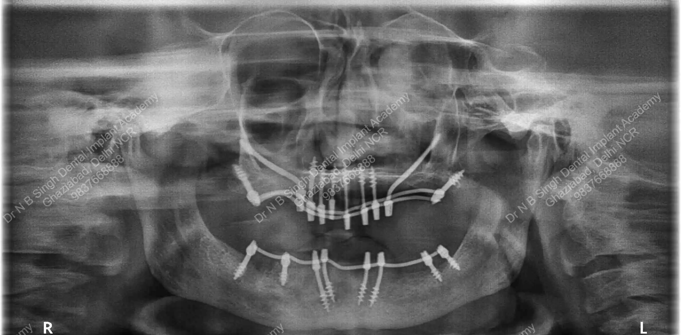
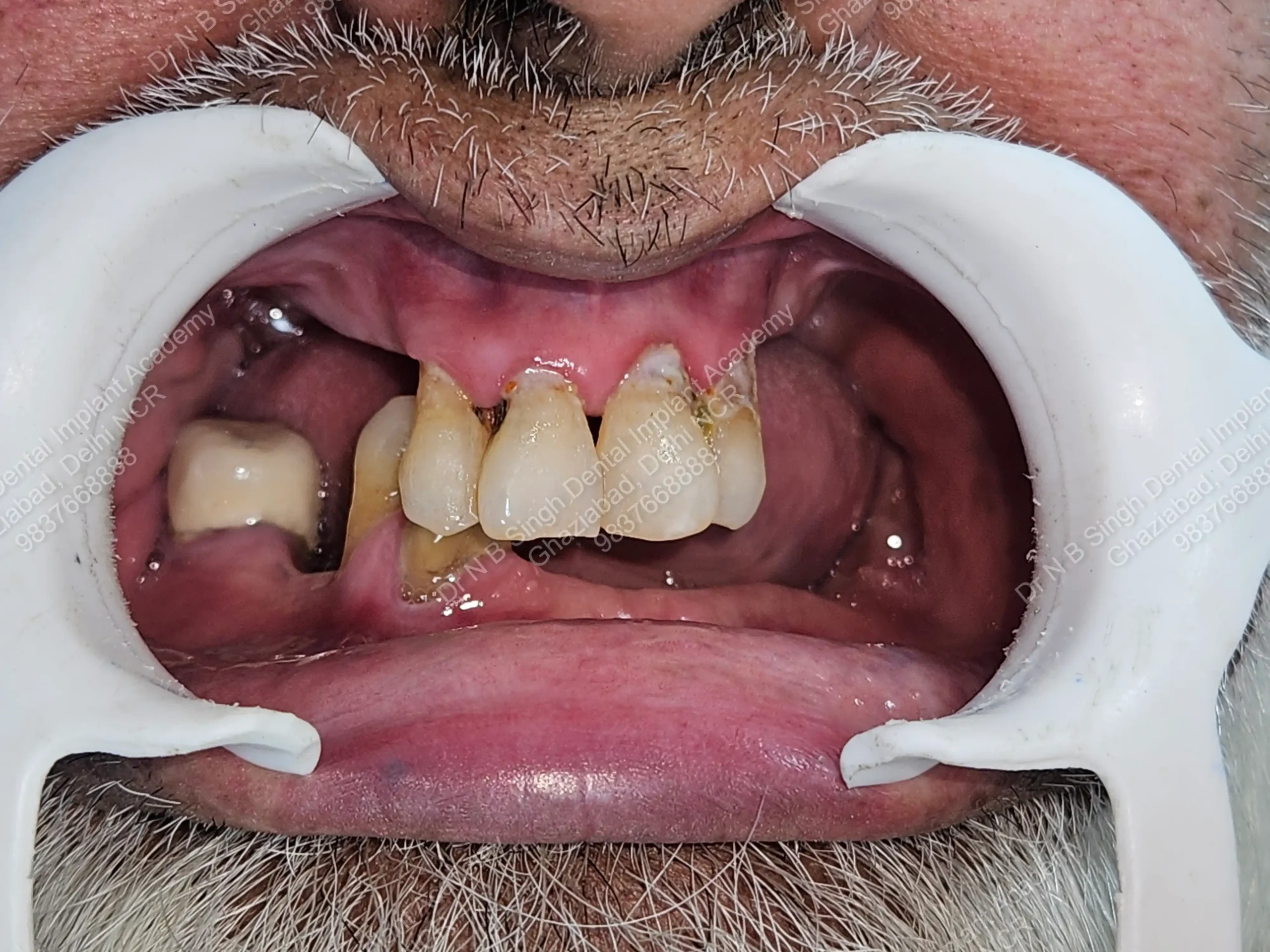
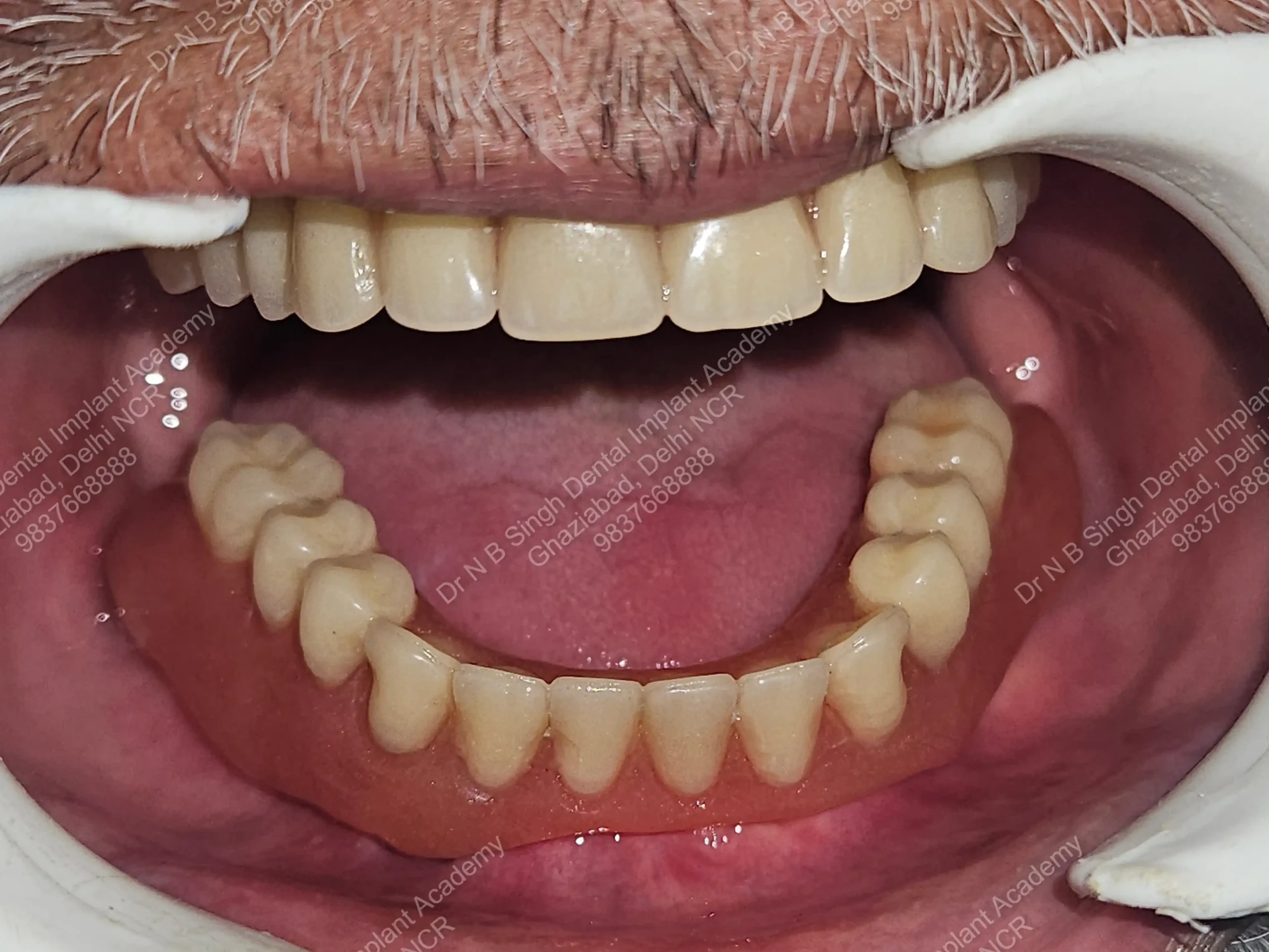
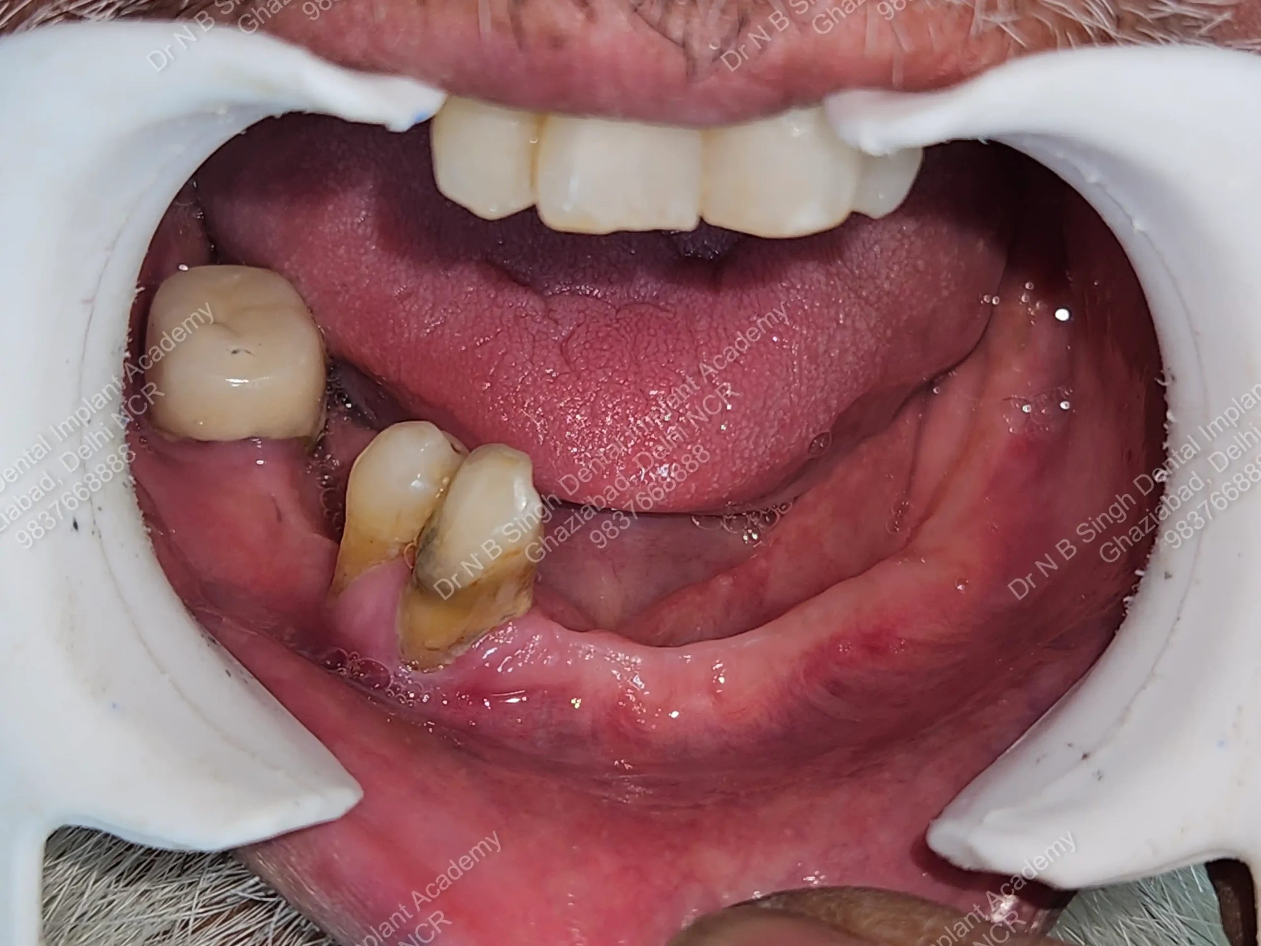
A008 Basal implants – af-qurs 1

Home / A008 Basal implants – af-qurs 1

Dr. N.B. Singh